Сибирь / Новости 6 февраля 2024 г. 17:42

Огромную кисту с паразитом удалили врачи из мозга ребенка в Новосибирске

Новосибирск. 6 февраля. ИНТЕРФАКС - Хирурги Новосибирской областной клинической больницы удалили из головного мозга пятилетней девочки огромную кисту с паразитом внутри, сообщает пресс-служба Минздрава региона.

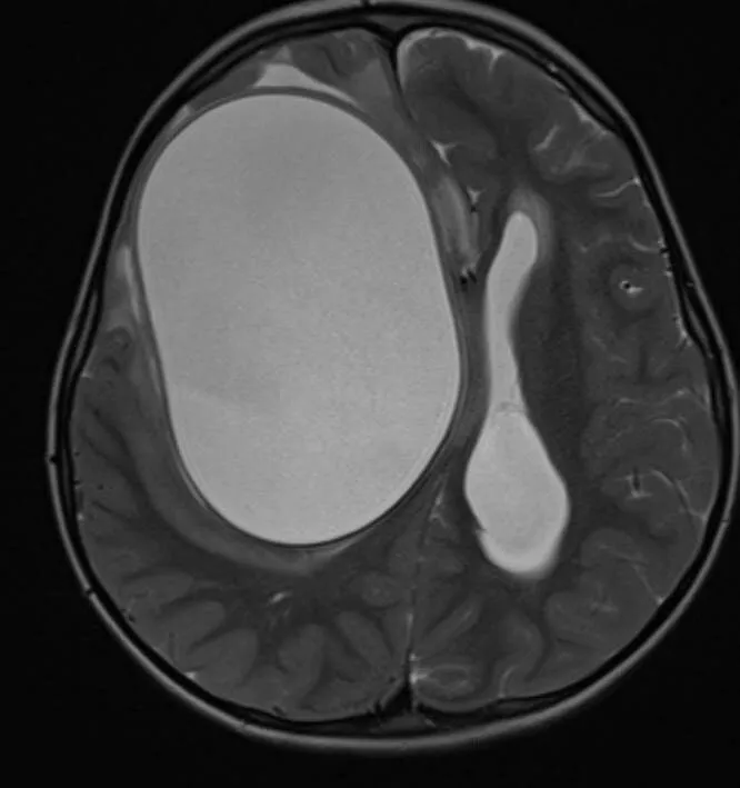
"Когда девочку госпитализировали, у нее не двигались левые рука и нога. Во время обследования врачи обнаружили два небольших образования в лёгких и огромное - больше 10 см диаметром - в головном мозге. Диагноз "эхинококкоз" подтвердился", - говорится в сообщении.

Отмечается, что паразитарные кисты в головном мозге очень редки, ранее в Новосибирской облбольнице удаляли такие капсулы из печени и легких, опыта подобных операций на головном мозге ни у кого из новосибирских нейрохирургов не было.

Однако транспортировать ребенка, например, в столичную клинику времени уже не осталось.

"Главная трудность такого вмешательства - капсулу нужно извлечь целиком, не нарушив целостность оболочки, толщина которой всего 1-2 миллиметра", - говорится в сообщении.

Содержимое паразитарной кисты очень токсично, в случае с головным мозгом нельзя откачать его через прокол, а после провести обработку специальными препаратами, как это делается, например, при операциях на печени.

Операция длилась несколько часов. Нейрохирурги сумели аккуратно высвободить и извлечь кисту.

Девочку уже перевели в палату, спустя неделю после операции она ходит самостоятельно. Подвижность руки и ноги восстановилась.

Два небольших очага инфекции в легких врачи попробуют вылечить медикаментозно. Если через два месяца кисты не уменьшатся, девочке потребуется ещё одна операция.

Возбудителем эхинококкоза является личиночная стадия эхинококка - ленточного червя отряда циклофеллид.